Orthodontie

Spécialiste de l'orthodontie

L'orthodontie ou Orthopédie Dento Faciale (ODF) a pour but la prévention, le dépistage, le diagnostic et le traitement des malformations et malpositions de la face, des maxillaires, des arcades dentaires et des dents. 

L'Orthodontie, partie de l'Orthopédie Dento-Faciale, concerne plus particulièrement les malpositions des arcades et des dents. En empêchant l'apparition des malformations, ou en les corrigeant, l'ODF permet non seulement de favoriser le bien être social des patients, mais surtout de préserver la santé bucco-dentaire et donc la santé globale. Une fonction équilibrée et harmonieuse de l'appareil masticateur (articulations, muscles, dents) préserve sa santé et retarde les effets de son vieillissement naturel.
L'ODF s'adresse aux enfants comme aux adultes, soit en première intention, soit associée à des traitements de prothèse ou à des traitements parodontaux. (Traitement des maladies des gencives responsables de la mobilité et du déplacement des dents)

 

Orthodontie pour enfants & adultes

Pour plus d'informations

Notre équipe est à votre disposition pour vous communiquer les meilleures informations de prévention et de santé bucco-dentaire et vous renseigner concernant les traitements orthodontiques.

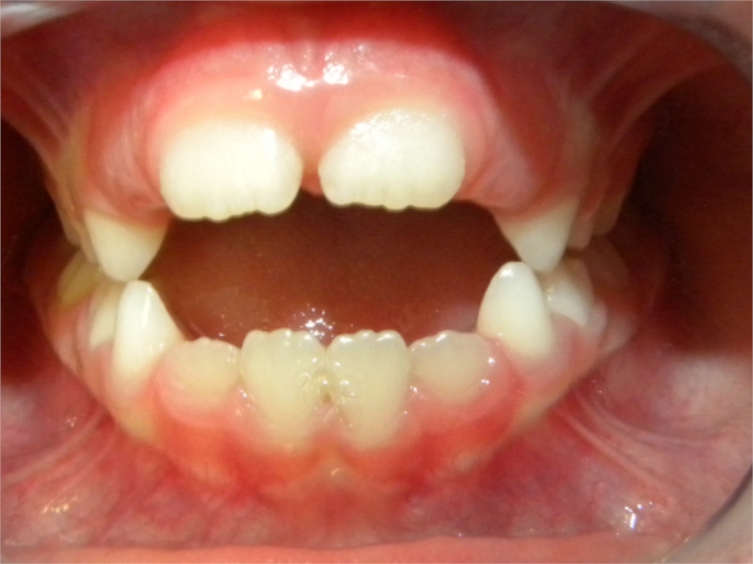
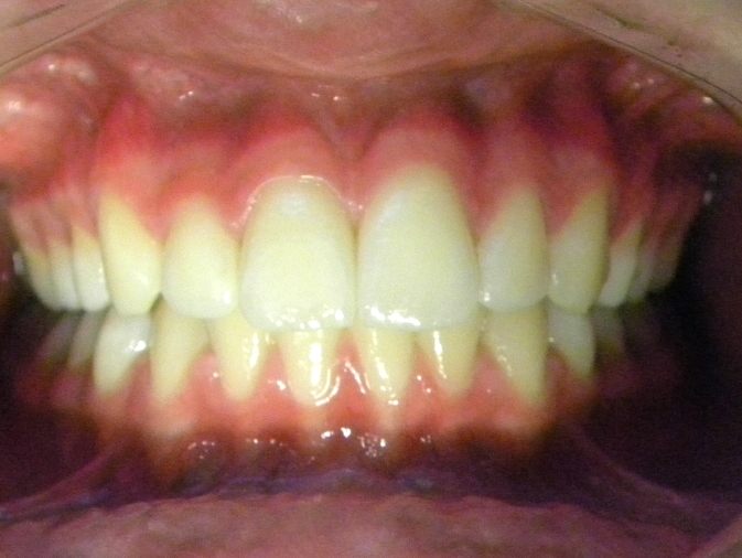
Nos sourires (avant/après)

CONTACT

7 rue des Fresnayes 
49130 Les Ponts de Cé
cabinetdentairersb@cabinetrsb.fr
02 41 22 06 93

 

HORAIRES DU SECRETARIAT

Ouvert du Lundi au Vendredi,
de 09h00 à 13h00
et de 14h00 à 19h00

© SELARL RSB - Tous droits réservés

Créé et référencé par MICRO-INFO-EXPERT